
മാസത്തിൽ മൂന്ന് തവണ വരുന്ന ശക്തമായ തലവേദന. ഒരു തവണ വന്നുകഴിഞ്ഞാൽ ഒരാഴ്ചയോ അതിൽ കൂടുതലോ നീണ്ടു നില്ക്കുന്നു... ആലോചിച്ചു നോക്കു എന്ത് ബുദ്ധിമുട്ടാകുമെന്ന്. ഇതായിരുന്നു ഓസ്ട്രേലിയക്കാരിയായ ഒരു 25 കാരിയുടെ അവസ്ഥ. കഴിഞ്ഞ ഏഴ് വർഷമായി ഇങ്ങനെ വിട്ടുമാറാത്ത തലവേദന ഇവരെ അലട്ടിയിരുന്നു. മൈഗ്രെയ്ൻ ആണെന്ന് കരുതി അതിനുള്ള മരുന്നുകളായിരുന്നു കഴിച്ചിരുന്നത്.
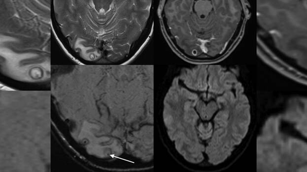
അടുത്തിടെ കഠിനമായ തലവേദന ഒരാഴ്ചയിലേറെ നീണ്ടു നിന്നു. ഒപ്പം കാഴ്ച മങ്ങുന്നതുൾപ്പെടെയുള്ള ലക്ഷണങ്ങളും പ്രകടമായി. ഉടൻ തന്നെ യുവതിയെ ആശുപത്രിയിൽ പ്രവേശിപ്പിച്ചു. ഡോക്ടർമാർ യുവതിയെ എം.ആർ.ഐ സ്കാന് വിധേയമാക്കി. തലച്ചോറിലെ ട്യൂമറാണ് യുവതിയ്ക്ക് തലവേദനയുണ്ടാകാൻ കാരണമെന്ന് സ്കാൻ റിപ്പോർട്ടിൽ നിന്നും ഡോക്ടർമാർ നിഗമനത്തിലെത്തി. തലയിലെ മുഴ നീക്കം ചെയ്യാനായി ഡോക്ടർമാർ ശസ്ത്രക്രിയ ആരംഭിച്ചു. എന്നാൽ മുഴയ്ക്കുള്ളിൽ ഡോക്ടർമാർ കണ്ടത് ഞെട്ടിക്കുന്ന കാഴ്ചയായിരുന്നു.
ടേപ്പ് വേം (Tapeworm ) അഥവാ നാടവിരകളുടെ ലാർവകളായിരുന്നു അതിനുള്ളിൽ. ഏതായാലും ഡോക്ടർമാർ ശസ്ത്രക്രിയ വിജയകരമായി പൂർത്തിയാക്കി. യുവതി സുഖം പ്രാപിച്ചു വരുന്നു. ന്യൂറോസിസ്റ്റിസർകോസിസ് (Neurocysticercosis ) എന്നാണ് ഈ അവസ്ഥ അറിയപ്പെടുന്നത്. ടേനിയ സോളിയം ( Taenia solium) എന്നറിയപ്പെടുന്ന നാടവിരകളോ അവയുടെ മുട്ടയോ ശരീരത്തിലെത്തുന്നത് വഴിയാണ് ഇവ ഉണ്ടാകുന്നത്.
പന്നിയിറച്ചിയിൽ ഈ വിരകൾ കാണപ്പെടുന്നു. നാടവിരകൾ തലച്ചോറിലെത്തുന്നത് വഴി ശക്തമായ തലവേദന മുതൽ അപസ്മാരം വരെയുള്ള ലക്ഷണങ്ങൾ പ്രകടമാകാം. നല്ലപോലെ വേവിക്കാത്ത പന്നിയിറച്ചി ഉൾപ്പെടെയുള്ള മാംസാഹാരങ്ങളിലൂടെയോ നാടവിരകളുടെ മുട്ടകൾ അടങ്ങിയ മലിനജലത്തിലൂടെയോ ആണ് മനുഷ്യ ശരീരത്തിനുള്ളിൽ ഈ പരാദ ജീവികൾ കടന്നുകൂടുന്നത്. സമയത്തിന് കണ്ടെത്തി ചികിത്സിച്ചില്ലെങ്കിൽ ജീവന് വരെ ഇവ ഭീഷണിയാകാം.